検査・治療
一般撮影検査
一般撮影では、胸部や腹部、全身の骨・関節等のX線撮影や、マンモグラフィ(乳房撮影)を行っています。
・X線撮影
■X線撮影とは
一般的にレントゲン撮影とも言われており、X線を人体に照射し、人体を通過したX線量の差を画像にする検査です。X線写真では、X線が通過しにくい骨などは白く、X線が透過しやすい空気を多く含む肺は黒く写ります。
胸部X線写真
腹部X線写真
全脊椎長尺写真
股関節写真
腰椎写真
足関節写真
■被ばく低減の取り組み
当院では、X線撮影装置にFPD(フラットパネルディテクタ)検出器を導入しており、従来のCRシステムよりも、少ない放射線量で高精細な画像を撮影できます。以前に比べて約40~60%の被ばく線量の低減を実現しています。
■当院の装置
X線撮影装置
・MRAD-A50S/A1 RADREX(Canon社):5台
・Rad next(FUJIFILM社):1台
回診用X線撮影装置
・CALNEO GO PLUS(FUJIFILM社):2台
・Mobile DaRt(島津社):1台
・sirius 130HP(FUJIFILM社):1台
・sirius starmobile tiara:1台
X線撮影装置 Rad next+CALNEO PU
長尺撮影装置 CALNEO GL
・マンモグラフィ
■マンモグラフィとは
マンモグラフィとは、乳房のX線撮影のことで、乳房専用撮影装置を用いて撮影します。乳房を圧迫板ではさみ薄く広げて撮影することで、乳房内の小さなしこりや石灰化を鮮明に映し出すことができます。当院のマンモグラフィ撮影は、女性放射線技師が担当しています。
頭尾方向撮影
内外斜位方向撮影
■トモシンセシス撮影
3Dマンモグラフィとも言われており、撮影管球の角度を変えながら複数枚の画像を撮影することで、断層画像を得ることができます。トモシンセシス画像(3D)は1mm厚の画像を表示できるため、通常のマンモグラフィ画像(2D)では乳腺の重なりで発見しづらかった病変を検出しやすくなります。
■注意事項
次のような方は、検査を受けられないことがありますのでスタッフにお申し出ください。
・妊娠中、妊娠の可能性のある方
・ペースメーカー、CVポート等が胸部に埋め込まれている方
・豊胸手術を受けた方(シリコン・生食パック、脂肪・ヒアルロン酸注入等)
■マンモグラフィ検診認定
当院は、NPO法人日本がん検診精度管理中央機構のマンモグラフィ検診施設画像認定を取得しています。また、検診マンモグラフィ撮影認定診療放射線技師が17名在籍しています。
■当院の装置
SELENIA Dimensions(Hologic社)
骨塩定量検査
■骨塩定量検査とは
骨塩定量検査とは、骨を構成しているカルシウムなどのミネラル類の量を測定する検査です。骨粗しょう症や代謝性骨疾患の診断に用いられます。当院では、DXA法による骨塩定量検査を行っています。DXA法はDual-energy X-ray Absorptiometry(二重X線吸収測定法)の略で、エネルギーの異なる2種類のX線を用いて骨とほかの組織とを区別し、骨密度を測定する方法です。ガイドラインでは骨折しやすい部位である腰椎と大腿骨頚部の両方を測定することが推奨されているので、これに準拠して検査を行っています。
■当院の装置
PRODIGY Fuga(GE社)
■検査結果
腰椎での測定結果
大腿骨頸部での測定結果
X線テレビ検査
■X線テレビ検査とは
X線を用いて体の中を透視し、その様子をリアルタイムにモニターで観察しながら様々な検査・治療をすることができます。当院では5台の装置で消化器科、泌尿器科、放射線科、婦人科呼吸器科、整形外科等の検査を行います。
■当院の装置
・UitimaxーI(Canon社):2台
・Astorex i9(Canon社):2台
・CUREVISTA Open(FUJIFILMヘルスケア社):1台
UitimaxーI
Astorex i9
■子宮卵管造影
造影剤を子宮内に注入して子宮内の状態と卵管の通過性を調べる検査です

■脊髄腔造影検査(ミエログラフィー)
脊髄(首や腰など)に造影剤を注入して、いろいろな角度から脊髄を撮影していく検査です。頚椎や腰椎の椎間板ヘルニア、脊柱管狭窄症、脊椎すべり症などによる神経の圧迫状況の把握などに有用な検査です。


■CVポート留置術
CVポートは、中心静脈カテーテルの一種で、正式には皮下埋め込み型ポートといわれるものです。皮膚の下に埋め込んで薬剤を投与するために使用します。CVポートは、100円硬貨程度の大きさの本体と薬剤を注入するチューブ(カテーテル)より構成されています。通常は、首や鎖骨の下の血管からカテーテルを入れ、右または左の胸の皮膚の下に埋め込みます。また、状態によっては腕に埋め込むこともあります。カテーテルの先端は、心臓近くの太い血管に留置されます。

■PICC留置術
PICCは、通常上腕から挿入する中心静脈カテーテルです。他の中心静脈カテーテルと比較して、腕から比較的簡単に挿入でき、挿入後の感染などのリスクも少ないのが特徴です。また管理方法によっては長期間にわたって使用できるカテーテルです。
■泌尿器科系検査・処置
逆行性尿道造影、逆行性腎盂造影、排尿時膀胱造影などの腎臓、尿管、尿道、膀胱の造影検査や、尿管ステント留置術、腎瘻造設術などの処置を行います。
逆行性尿道造影(RUG)
排尿時膀胱造影(VCU)
尿管ステント留置術(Jチューブ)
■内視鏡的逆行性胆管膵管造影(ERCP)
内視鏡を口から挿入し、十二指腸にあるファーター乳頭と呼ばれる場所から造影剤を注入し、胆道及び膵管の異常を詳しく調べる検査です。疾患によってはERCPの検査に引き続いて治療を行います。主に総胆管結石に対しては,内視鏡的乳頭切開術(EST)や内視鏡的乳頭バルーン拡張術(EPBD)による内視鏡的採石術、胆管癌や膵癌による胆管・膵管閉塞に対しては,ドレナージやステント挿入等を行います。

■経気管支肺生検(TBLB )
びまん性肺疾患や、サルコイドーシス、肺がん、肺炎の形態を示す何らかの肺病変に対し、気管支鏡とX線透視を用いて肺の組織の一部を採取してくる検査です。

CT検査
■CT検査とは
CT(Computed Tomography)検査はX線を利用して、物体を透過したX線の量をデータとして集めてコンピュータで処理することによって、人体の断面(輪切り)画像を得る検査です。短時間で広範囲を撮影することができ、任意の断面や立体的な画像(3D画像)を作成することも可能です。
■当院の装置
・Discovery CT 750HD(GE社) 64列Dual Energy
・Revolution Ascend(GE社) 64列
・Revolution Apex Elite(GE社) 256列Dual Energy
Discovery CT 750HD
Revolution Ascend
Revolution Apex Elite
■CT検査の流れ
[受付]
当院1階、CT受付に患者基本カードを出して待合で座ってお待ちください。
↓
[更衣]
受付担当者によるご本人のお名前・生年月日の確認後、着衣に金属性のもの(ネックレス、金属性のボタン、ファスナー、金属のついている下着)があれば更衣室で外していただき、必要であれば検査着に着替えていただくこともあります。金属がついていなければそのまま検査することが可能です。
↓
[造影検査時の血管確保と問診]
造影検査を行う前には、前室で担当看護師がアレルギーや造影検査歴等をお聞きします。その後、造影剤を注入するために腕の静脈に針を刺して血管を確保し、検査の順番を待っていただきます。
↓
[検査]
検査室に入室後、検査台に寝ていただきます。ベッドが動き、担当放射線技師から検査の説明(検査部位、造影剤の使用の有無、動かないこと、息止めの合図等)があります。
検査ではドーナツ型のトンネルにベッドが入り撮影します。(造影検査の場合は、造影剤注入後に撮影します) 撮影が終わりましたら担当放射線技師が検査台を下げます。下がり終わったら降りて頂き、体調に異常がなければ検査終了となります。造影検査の場合、検査後は水分を普段より多めにとってください。
■検査時の注意事項
検査前に以下の事項を確認してお知らせください。該当すると検査が行えない場合があります。
・ペースメーカ―や植込型除細動器等の人工物が体内に埋め込まれている。
・造影剤アレルギーがある、また過去に造影剤を使用して副作用(吐き気、掻痒感等)がでたことがある。
・糖尿病のお薬を服用している、喘息の既往がある、妊婦又は妊娠の可能性がある、腎機能が低下している。
・閉所恐怖症である。
■頭部CT検査
脳や頭蓋骨における、腫瘍、脳梗塞、脳出血、骨折等の診断をするための検査です。
脳梗塞
脳出血
頭蓋骨骨折
■胸部CT検査
肺や胸部にある臓器・血管における、腫瘍、出血、肺炎等の診断をするための検査です。
正常
肺腫瘍
COVID-19 肺炎
■腹部CT検査
腹部にある臓器・血管における、腫瘍、出血、炎症等の診断をするための検査です。
正常(造影剤使用)
肝腫瘍(造影剤使用)
膵腫瘍(造影剤使用)
■脊椎、四肢のCT検査
骨折やヘルニア等、主に整形外科領域の診断をするための検査です。
腰椎(破裂骨折)
手首(橈骨骨折)
足首(脛骨、腓骨骨折)
■3DCT検査
血管、臓器、骨の位置関係、状態を立体的(3D)に画像化し、手術支援等のために施行します。
腹部大動脈CTA(大動脈瘤)
整形外科3D(骨折)
脳血管3DCTA(脳動脈瘤)
冠動脈3DCTA(狭心症)
■研究論文・医学雑誌の紹介
中島広貴
映像情報 Medical vol.55 No.2 FEBRUARY2023 『RSNA印象記』
CT検診(Journal of Japanese Society of CT Screening)『肺がん検診CTを用いた冠動脈石灰化解析への基礎検討』
板谷春佑
映像情報Medical vol.55 No.2 FEBRUARY2023 『AI・自動化技術が変えるCT撮像ワークフロー』
日本放射線技術学会雑誌 Vol. 72 (2016) No. 11 『Dual energy CTを用いた肝臓における脂肪量の定量評価』
歯科用CT検査
■歯科用CTとは
歯科用CT(Computed Tomography)は、CT撮影装置とコンピュータ処理により、歯科領域における撮影データを3次元的に構築し、骨の状態などが正確・高精度に診断できる装置です。通常のCTよりも高解像度なので歯や骨等を詳細にみることができます。また、歯科用CTはインプラント治療だけでなく、矯正や根管治療、親知らずなど、幅広く様々な歯科治療の支援に用いられます。
■当院の装置
AUGE SOLIO(朝日レントゲン社)
MRI検査
■MRI検査とは
MRI検査とは、強力な磁石でできた筒の中に入り、磁気の力を利用して体の臓器や血管を撮像する検査です。(MRI=Magnetic Resonance Imaging:磁気共鳴画像診断装置)
MRI検査では様々な病巣を発見することができます。特に脳、脊椎、四肢、肝臓や膵臓などの消化器、子宮、卵巣、前立腺等の骨盤腔、心臓に生じた病変に関して優れた描出能が知られています。色々な病気の早期発見、診断にMRI検査は有効とされ研究が進んでいます。また、検査目的により様々な種類の画像や多様な断面での撮像が可能です。複数の種類の画像を取得するため撮像時間が他の検査より長くなりますが、複数の種類の画像を用いることで病変の描出能が優れています。
・検査時間は検査室に入ってから出るまで概ね20分~40分です。(検査部位・条件により異なります)
・検査中はベッドに横になっていただきます。(出来るだけ体をうごかさないでください)
・検査中に気分が悪くなるなどの異常を感じた場合には、ためらわずに連絡ブザーを押してお知らせください。
・検査中は工事現場のような様々な機械音がします。また、途中で音が変わっても故障ではありませんので安心ください。
■当院の装置
Signa HDx 1.5テスラ(GE社)
AERA 1.5テスラ(SIEMENS社)
Ingenia Ambition X 1.5テスラ(Philips社)
■検査時の注意事項
・次のような方はMRI検査を受けられないことがあります。必ずスタッフに申し出てください。
(1)心臓ペースメーカーが留置されている方
(2)人工内耳、人工中耳の方
(3)血管へのステント置換術を8週間以内に受けられた方
(4)古い型の人工心臓弁の手術を受けられている方
(5)眼に微細な金属片が入っている(または入っていると疑われる方)
(6)チタン製以外の脳動脈瘤クリップが入っている方
(7)金属の義眼底の方
(8)骨折によりボルト固定がされたままの方
(9)躯幹全体に入墨のある方
(10)避妊リングを体内に入れている方
・化粧品には、磁性体が含まれているもの(マスカラ・アイライン・アイブロウ・アイシャドウ等)があり、検査画像に影響するだけでなく目の粘膜等を傷つけたりすることがあるので、出来れば付けずに来院してください。
・瞳の色を変える目的のカラーコンタクトレンズは材質的に金属が使われている可能性がありますので外してご来院いただくか、検査前に外していただきます。
・白髪染めスプレーや増毛パウダー等は金属成分を含んでいる可能性がありますので、検査当日のご使用はお控えください。
・金属(磁石に付くもの)を体に身に着けていると、画像が乱れて検査に支障をきたすだけでなく、MRI装置に金属が磁力で引っ張られて、飛ばされたり、装置に付着するので大変危険です。また、金属のワイヤーが入っているブラジャーやボディスーツ等は着用したまま検査することは出来ません。
頭・顔・頸部の検査では入れ歯を外していただきます。
・ジェルネイル・マグネットネイルに金属が含まれている場合、発熱(火傷)などの可能性があります。検査直前に確認された際は、検査が出来ない場合がありますので、可能であれば付けずにご来院ください。
・検査部位によっては検査着に着替えて行います。下記のものは検査室への持込厳禁ですので注意をしてください。
ピアス・イアリング/ネックレス/ヘアピン/腕時計/鍵/携帯電話/磁気カード/眼鏡/使い捨てカイロ/その他金属類
■頭部MRI検査
腫瘍、血管詰まり(脳梗塞)、脳出血等の診断をするための検査です。
脳梗塞
脳腫瘍(左:造影剤なし 右:造影剤あり)
■脊椎MRI検査
腫瘍、ヘルニア、骨折等の診断をする検査です。
転移性脊椎腫瘍
脊椎圧迫骨折
椎間板ヘルニア
■腹部MRI検査
腫瘍、血管、炎症等の腹部にある臓器の診断をするための検査です。
肝腫瘍(左:造影剤なし 右:造影剤あり)
膵腫瘍(腫瘍による胆管膵管狭窄)
子宮頸がん
前立腺がん
■胸部MRI検査
腫瘍、血管、炎症等の胸部にある臓器の診断をするための検査です。
縦隔腫瘍
乳腺腫瘍(左:造影剤あり 右:造影剤なし)
■血管MRI検査
MRIでは造影剤を用いずに血管を描出可能、血管狭窄や動脈瘤等の診断をする検査です。
脳動脈
脳静脈
脳血流画像
下肢動脈
腎動脈
■心臓MRI検査
心筋梗塞、心筋炎等の心臓疾患の診断をするための検査です。
拡張型心筋症
■四肢MRI検査
骨折、靭帯損傷、腱板損傷、炎症等の整形領域の診断をするための検査です。
足関節(アキレス腱断裂)
肩関節(腱板損傷)
膝関節(半月板損傷)
血管造影検査
■血管造影検査とは
血管造影検査とは、血管撮影装置より発生させたX線と造影剤と呼ばれる薬剤を使用して、主に血管を写し出す検査です。検査の概要としては、カテーテルと呼ばれる細い管を手首、肘、足の付け根などから動脈や静脈に挿入し、目的の血管に進めて造影剤を注入して撮影を行います。
また、検査だけではなくカテーテルを通して様々な道具や薬剤を使用して治療も行うことができ、血管内治療(IVR : Interventional Radiology)と呼ばれています。外科的な手術と比べ、低侵襲で治療を終えることが可能です。従来では外科的な手術が必要だった病気が、IVRに置き換わるようになってきています。
■当院の装置
当院では血管造影室が4部屋あり、診療科と目的に応じて使用しています。
Azurion 7 B 12 / 12(Philips社)
(循環器科・心臓領域)
Azurion 7 B 20 / 15(Philips社)
(循環器科・心臓、下肢領域、脳神経外科・頭部領域)
Artis zee ceiling
+ SOMATOM Definition AS(Siemens社)
(放射線診断科・腹部領域)
Allura Xper FD20(Philips社)
ハイブリット手術室
(循環器科・心臓領域、心臓血管外科・大血管領域)
■頭頚部領域
脳の血管の一部が風船状に膨らんだ動脈瘤を詰める治療(脳動脈瘤コイル塞栓術)や、反対に脳の血管が狭くなったり、詰まったりした際に、血管を広げたり、詰まった原因を取り除く治療(脳血管形成術・血栓回収療法)を行っています。
また、首の血管が狭くなった場合に血管を広げる頸動脈ステント留置術も行います。
上の画像は脳の血管の一部が詰まった画像(脳梗塞)です。
左の画像では血管が写っていないのですが、治療後では血管が写るようになりました。
■循環器領域
心臓の筋肉を栄養する血管が狭くなったり、詰まったりした際に、血管を広げる治療(経皮的冠動脈形成術:PCI)や、不整脈に対して心筋焼灼術(カテーテルアブレーション)またはペースメーカーの留置を行っています。
上の画像は心臓の血管の一部が狭くなった画像(狭心症)です。左の画像で血管がくびれて見える部分が治療により右の画像のように広がりました。
■四肢領域
動脈硬化などが原因で手や足の血管が狭くなったり、詰まったりした際に血管を広げる治療(四肢の血管拡張術)を行っています。
また、腎臓内科による透析患者に対するシャント拡張術も行っています。
上の画像は膝付近の足の血管の一部が詰まった画像です。左の画像では血管が途切れて写っていますが、治療後では連続して写るようになりました。
■腹部領域
肝臓がんを栄養している血管に直接抗がん剤を入れたり、血管自体を詰めてしまう治療(TACE)や、CTや血管撮影装置を使用して、外観からは見えない臓器や目標物に針を刺して治療や検査(ガイド下生検・ドレナージ・ラジオ波焼灼療法(RFA)・椎体形成術(PVP)・神経ブロックなど)を行っています。
当院では血管撮影装置にCT装置が備わっているIVRーCT装置を導入しています。
上の画像は肝臓がんの画像です。左の画像で見えている黒い染まりが肝臓がんで、治療後には染まりが見えなくなっています。
上の画像は血管撮影装置を使用し、針を刺したところです。このように針と目標物が見えるので安全に検査・治療が行えます。
■ハイブリッド手術室
近年は構造的心疾患(SHD)に対して、カテーテル治療を行うことが多くなってきました。当院でもハイブリット手術室において、経皮的大動脈弁置換術(TAVI)、心房中隔欠損閉鎖術、僧帽弁クリップ術、左心耳閉鎖術を行っています。
さらに、大血管の一部が風船状に膨らむ大動脈瘤や、血管の一部が破れ本来とは別の通り道ができる大動脈解離に対して、金網と人工血管を組み合わせたステントグラフトを用いた治療(大動脈ステントグラフト留置術)を行っています。
手術室内に血管撮影装置を設置し、血管造影検査と外科的な手術が同時に行えます。
上の画像は、大動脈瘤の画像です。左の画像で見えている膨らみが、治療後に消えています。
上の画像はSHDの治療後の画像です。左が経皮的大動脈弁置換術(TAVI)後の画像で、留置した大動脈弁が見えています。右が僧帽弁クリップ術後の画像で、留置されたクリップが見えています。
SHD(構造的心疾患)ページ
我々診療放射線技師は、正確・迅速なだけではなく、医師の目的を理解した有用性の高い画像を提供することをこころがけています。
核医学検査
■核医学検査とは
核医学検査とは、ごく微量の放射性物質(ラジオアイソトープ:RI) を含む医薬品を用いて病気の診断をする検査で、RI検査ともよばれています。 この医薬品は、注射などで体内に入ると、目的の臓器に集まりそこから放射線を放出します。
この放射線をガンマカメラと呼ばれる専用のカメラで撮影し画像化し、病気の有無の他に全身、各臓器の機能や形態などを調べることができます。副作用が非常に少ない検査で、多くの病気の診断に利用されています。
■放射線被ばくに関して
一般的に核医学検査で使用する放射線量はごく微量で、年齢・体重または検査種別により、必要量の放射性医薬品しか投与しません。1回の検査でおよそ0.2~8.0ミリシーベルトの放射線を受けると言われています。単純な比較はできませんが、指標として人が通常生活していく上で、大地に含まれる天然の放射性物質からの放射線、宇宙からやってくる宇宙線など1年間に約2.4ミリシーベルトの放射線を受けています。このように放射線量も少なく、子供や乳幼児の検査としても多用されています。
■当院の装置
Symbia Evo Excel(Siemens社)
■骨シンチグラフィ
骨シンチグラフィとは、骨に集まる放射性薬剤を静脈投与した後、放射性薬剤の集積程度を特殊なカメラ(ガンマカメラ)で撮像することにより、骨の状況(癌による骨転移、骨折、骨髄炎など)を調べる検査です。レントゲンよりも早期に骨の異常を見つけることができます。
正常例
多発性骨転移症例
■脳血流シンチグラフィ
脳血流シンチとは、脳に集まる放射性医薬品(アイソトープ)を静脈から投与し、脳でのアイソトープの分布を専用のカメラで撮像する検査です。脳血流がどの部分で低下しているのかを画像から知ることができ、脳血管の病気の重症度を調べる(図1)、認知症の原因を診断する(図2)などの目的で行われる検査です。
図1 脳血流シンチグラフィ
図2 脳血流シンチグラフィ(認知症検査)
■心筋血流シンチグラフィ
心筋血流シンチとは、心臓に集まる放射性医薬品(アイソトープ)を静脈から投与し、その分布を専用のカメラで撮像する検査です。心臓のどの部分の血流が低下しているのかを画像から知ることができます(図1)。狭心症、心筋梗塞の有無や重症度を診断するなど各種心疾患の診断目的で行われる検査です。心筋の血流を増やすために薬剤や運動で負荷をかけて行う検査もあります。心電図をつけて撮影すると心臓の動きを調べたりすることができます。(図2)
(図1) 心筋血流シンチグラフィ
(図2)心電図同期心筋血流シンチグラフィ
■肺血流シンチグラフィ
肺の毛細血管に一時的に留まる放射性医薬品を投与し、その分布を画像化することによって、肺の血流の状態を調べる検査です。肺塞栓症・肺高血圧症など診断に用いられます。
肺血流シンチグラフィ(肺塞栓症)
■甲状腺シンチグラフィ(ヨード摂取率)
甲状腺は、ヨウ素を原料として甲状腺ホルモンを合成していますが、この検査は甲状腺がヨウ素を取り込む性質を利用して行う検査です。更に投与量に対する甲状腺への集積の割合(ヨード摂取率)を求めることにより、甲状腺のヨード代謝を把握することができます。
甲状腺シンチグラフィ
■ドパミントランスポーターシンチグラフィ
ドバミン神経細胞には、ドパミンを再び取り込み、ドパミン量を調整する部分(ドパミントランスポーター)があります。ドパミン神経細胞が壊れると同じくドパミントランスポーターが減少します。パーキンソン病やレビー小体型認知症などドパミン神経が変性・脱落している部位は取り込みが低くなります。
正常例
レビー小体型認知症
超音波検査
■超音波検査とは
超音波検査は、人間の耳には聞こえない高い周波数の超音波をプローブ(探触子)という装置から人体に送信し、反射して戻ってきた超音波を再びプローブで受信し、その信号をコンピュータが解析してリアルタイムに画像化する検査です。人体に影響のないエネルギーの音波を使用しますので、非侵襲的な検査です。体内に人工関節などの金属が入っていたり、心臓ペースメーカーを装着していても検査可能です。腹部全域、心臓、血管、体表(甲状腺・唾液腺・乳腺)、関節など様々な領域の検査で用いられています。当院の診療放射線技師は、この中でも腹部、体表、関節などの領域を臨床検査技師スタッフと共同で担当しています。
LOGIQ E10(GE社)
Aplio a550(Canon社)
■検査を受けられる方へ
・検査日は、できるだけ検査部位の肌が出しやすい服装で来院してください。
・プローブを滑りやすくしたり、超音波を体内に送信しやすくするために、肌の上に温かいゼリーを塗布して検査します。
・腹部の検査は基本的に空腹時に行います。絶食の指示がある場合は、検査前の軽食やジュース・お茶などの飲用もお控えください。胆嚢・胆管や膵臓が観察しづらくなる恐れがあります。
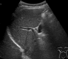
■腹部超音波検査
腹部超音波検査は、肝臓・胆嚢・胆管・膵臓・腎臓・脾臓などの上腹部領域を中心に検査を行っています。その他には大腸・虫垂などの消化管領域、および前立腺・膀胱・子宮・卵巣などの下腹部領域も検査する場合があります。仰向けだけではなく、側臥位や座位などの体位変換を行っていただく場合があります。
肝臓
胆嚢
膵臓
腎臓
■頸部超音波検査
頸部超音波検査は、甲状腺・副甲状腺および頸部リンパ節を中心に検査を行っています。また、唾液腺(耳下腺・顎下腺・舌下腺)およびその他の頸部腫瘤の検査も行っています。
甲状腺
■乳房超音波検査
乳房超音波検査は、乳腺を含む左右の乳房内全域および腋窩・鎖骨・胸骨周囲のリンパ節の検査を行っています。
乳腺
■関節超音波検査
関節超音波検査は、おもに関節リウマチの精密検査として行われています。主な検査部位は手指の関節や手首の関節です。症状によっては足趾の関節や肩関節・股関節・膝関節なども検査します。関節を構成する滑膜の肥厚や炎症の度合いを評価します。
■その他 特殊検査
・肝硬度測定(シアウェーブ・エラストグラフィ)
プローブからやや強い音圧の超音波を肝臓に送信することで発生するシアウェーブという波の速度から肝臓の硬さを計測することにより、慢性肝炎などによる線維化の進行度を推定する検査です。検査値が高い(硬い)ほど線維化が進行している傾向にあります。
・超音波減衰法
肝臓の細胞に脂肪が蓄積する、いわゆる脂肪肝によって、プローブから送信した超音波が減衰する原理を利用した検査です。減衰すればするほど検査値が高くなり、肝臓内の脂肪化の割合が高くなっていると推測されます。
・造影超音波検査
主に肝臓の腫瘍性病変の質的診断や存在診断を目的として行われています。ソナゾイド(ペルフルブタン)造影剤を静脈内に投与して、腫瘍性病変内の血流動態や、肝臓のクッパー細胞という貪食細胞への取り込みを観察し、評価します。
ソナゾイド造影剤による肝腫瘍の評価
放射線治療
■放射線治療とは
•放射線治療は、手術、抗がん剤治療と並ぶがんの3大治療法の1つです。
•放射線をがんのある部位に照射することによりがん細胞を死滅させる治療です。
•周りの臓器のダメージを減らすために5~35回程度に分割し、休日を除いて毎日照射します。
•放射線治療の最大の特徴は、他の治療法より低侵襲で、痛みをまったく感じません。臓器を切除する必要がないため体の機能と形態の温存に優れています。
•治療時間は1回10~20分程度です。
•基本的に外来通院で仕事を続けながら治療することが可能です。
•副作用も生じますが、ほとんどは時間の経過とともに回復していきます。
■放射線治療の目的
根治照射・・・がんを完全に治すための照射
緩和照射・・・がんによる痛みや神経障害を抑えるための照射
術前照射・・・手術前にがんをできるだけ小さくするための照射
術後照射・・・手術したあと、再発を予防するための照射
■放射線治療の流れ
放射線治療は診察から治療までいくつかの行程を経て行います。また、通常の照射とIMRT(強度変調放射線治療)で治療開始までの期間が異なります。当院の通常照射は、診察の翌日から治療開始、IMRTは診察の約1週間後に治療を開始しています。
■固定具作成について
放射線治療は毎日同じ場所に照射することによって効果が得られますので、患者さんの体勢に適した固定具を作成します。固定具は治療部位により様々なものがあります。
《固定具の一例》
頭頚部用シェル
シェルをお湯(65~70℃)で温め、頭頚部の形をとり、固定します。
治療時は毎回このシェルを装着して治療を行います。
■体に線を描く目的
放射線は目に見えないので体に印を描き、治療室内のレーザーに合わせて位置合わせをします。インクが汗等でにじむことがありますので、初回診察時には汚れても良い下着で来院されることをお勧めします。当院ではトモセラピー室に3次元体表面スキャナ「Voxelan」を導入しましたので、体の印をなるべく減らす運用をしています。
乳がん術後照射の例
Voxelan(青線:治療計画時の輪郭 紫線:実際の輪郭)
■副作用について
放射線治療の副作用は基本的に放射線が当たった部位のみに現れます。副作用には治療期間中~終了直後(急性期症状)と終了後半年から数年後(晩期症状)に出現するものがあります。例として急性期では皮膚炎、倦怠感、吐き気、頭部照射による脱毛、晩期では皮膚の硬質化、直腸出血、膀胱萎縮などが挙げられます。
■当院のスタッフ
放射線治療担当技師は総勢13名、うち放射線治療専門放射線技師2名、医学物理士2名、治療専門医学物理士1名、品質管理士1名で構成しています。
■当院の治療装置

・リニアック「CLINAC 21 EX」(varian社)
汎用型リニアックとして全身のあらゆるがんに対してスピーディーかつ高精度な治療が可能です。狙ったところに必要な分だけ照射できるように日々の精度管理を徹底しています。

・トモセラピー「Radixact」(accuray社)
高精度放射線治療であるIMRT(強度変調放射線治療)専用機としてがんに対してピンポイント照射が可能です。天井には開放感あふれる青空の液晶モニターを設置。3次元体表面スキャナ「Voxelan」によって体への線描きが不要かつ高精度なポジショニングが可能です。
体外衝撃波結石破砕術(ESWL)
■体外衝撃波結石破砕術(ESWL)とは
尿路結石、胆管結石、膵石などに対し体外から衝撃波をあて、体に傷をつけることなく結石を砕いて体の外に出す治療法です。多少身体に負担はありますが、良好な治療効果が期待できます。また、衝撃波の照準を結石に合わせるために、放射線もしくは超音波を用いています。1回の治療で結石がなくなる場合もあれば、数回必要となる場合もあります。
■当院の装置
MODULITH SLX-F2/s(すみれ医療社)
■治療例
治療前
治療後
尿管結石(治療後は結石が消えています)
治療前
治療後
膵石(治療後は結石が消えています)




